Валгусната деформация на първия пръст най-често засяга жени в зряла възраст, но засяга и мъже. Деформираната основа на палеца не изглежда естетически. В този случай човек изпитва физически дискомфорт, а в напреднал стадий – болка. Отклонението на големия пръст е резултат от неравномерно натоварване на тялото върху стъпалото. Такива промени имат пагубен ефект върху краката и другите пръсти.
Причини за кривина

Халукс валгус не възниква без видима причина. Тази патология възниква и се развива под въздействието на различни причини. Hallux valgus най-често засяга хора, които са генетично предразположени към това заболяване. Лекарите отбелязват следните причини за деформация на 1 пръст на крака:
- Излишно телесно тегло.
- Ендокринни заболявания.
- остеопороза.
- Плоскостъпие.
- Захарен диабет.
- Псориазис.
- Артрит.
- Хормонални промени по време на бременност и напреднала възраст.
- Носенето на тесни обувки.
- Спецификата на професията, принуждавайки човек да издържа на повишена физическа активност на краката си всеки ден.
Етапи и разновидности
Лекарите разглеждат 3 етапа на прогресиране на заболяването:
- Леко валгусно отклонение. Появява се зачервяване на кожата, както и леки ожулвания. Дискомфорт при ходене.
- На палеца вече ясно се вижда израстък. Наблюдава се подуване и болка.
- Тази форма на заболяването се счита за напреднала. Човек се притеснява от постоянна непоносима болка на големия пръст и цялото стъпало и появата на кератинизирана кожа. Болката не изчезва дори по време на сън.
Развитието на неприятния халукс валгус се влияе от много фактори. Експертите са идентифицирали следните видове деформации на пръстите като отделна категория:
- Кръстосана деформация. Кривината възниква в различни посоки. Пръсти се пресичат.
- Изкривяване на ставите до такава степен, че те винаги са в огънато положение. В първия етап на развитие на патологията пръстите могат да бъдат принудени да се изправят с помощта на ръцете. Ако лечението не започне в този момент, пръстите ще станат толкова сковани, че вече не можете да ги изправите с ръцете си. Сега е невъзможно да се направи без операция.
- Деформация на Тейлър. Патология, засягаща малките пръсти. Характеризира се с появата на израстък върху костите.
- Изкривяване на фалангите, наподобяващи куки.

Експертите включват балерините в риск от развитие на халукс валгус. Танцуването на пръсти води до повишено натоварване върху пръстите на краката, което води до тяхното изкривяване. Неправилната походка също може да доведе до нежелани резултати. Провокиращите фактори се засилват дори от възрастта.
Диагностични методи
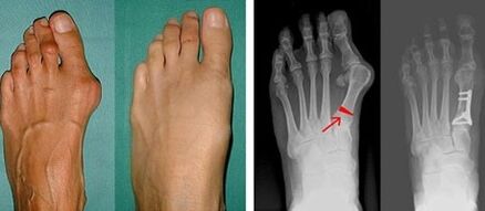
Ако визуалният преглед и рентгеновите лъчи не дадат резултат, тогава пациентът се насочва към плантография, за да се определи възможното плоскостъпие. Този метод включва вземане на отпечатъци от стъпалата, въз основа на които се изработват обувки или стелки с ортопедични свойства за пациента. След това на пациента се предписва подометрия. Този метод използва компютърен анализ, за да определи натиска на тежестта на човек върху краката. Резултатите от разширената диагностика са в основата на избора на метод за лечение на кривината на първия и втория пръст на крака.
Недостатъкът на рентгеновото изследване е необходимостта от облъчване на краката на пациента, което много пациенти не харесват. Смятат, че това е твърде вреден метод. В тази връзка ефективното лечение на халукс валгус не може да започне без резултатите от плантографията.

Това е най-добрият информативен диагностичен метод. С негова помощ лекарят определя не само наличието на плоски стъпала, но и състоянието на сводовете на краката. Компютърното изследване е най-ефективният начин за откриване на плоскостъпие.
На първия етап от идентифицирането на валгус на големия и малкия пръст на крака лекарят провежда визуален преглед. По този начин определя етапа на развитие на патологията. За да се идентифицират подробни промени в ставите, се предписват рентгенови лъчи и плантография.
Лекарствена терапия
По-добре е да започнете нежно лечение на крака, както и на големия пръст, преди да настъпи последният етап на развитие на патологията. Експертите знаят как да лекуват тази патология, но не знаят как да излекуват напредналата форма на заболяването без хирургическа интервенция. Първо, лекарите определят причината за кривината на пръстите, както и наличието на усложняващи фактори. Както е известно, задачата на лекарствената терапия включва симптоматична терапия. Това означава, че болката, възпалението и подуването са елиминирани.
Най-често на пациентите се предписват нестероидни противовъзпалителни средства. Освен основната си функция те намаляват болката и температурата. Когато възникнат усложнения, често се предписват хормонални кортикостероиди. Ако деформацията на пръстите е причинена от заболявания на вътрешните органи, тогава ставите могат да бъдат коригирани след излекуване на основната патология. В този случай ендокринолозите се включват в проблема заедно с други високоспециализирани специалисти. Много хора се опитват да се лекуват с народни средства, забравяйки, че това е възможно само в началния етап от развитието на патологията.
Ако патологията се забележи в началния етап, тогава изкривеният палец се изправя с помощта на устройства - пластмасови или силиконови подложки с ортопедични свойства. По време на лечението трябва да носите меки, просторни обувки. За изправяне на кривите пръсти се използват ортопедични стелки, опори за сводове и други коректори. Деформираните пръсти се фиксират със специални шини, пръстени, капачки и гребени. С помощта на такива устройства пръстите се закрепват в правилната позиция. Благодарение на ортопедичните фиксатори спира развитието на по-нататъшна деформация на пръстите.
Има два начина за лечение на халукс валгус. Първият е безболезнена корекция на деформация, която не изисква хирургическа намеса и рехабилитация, вторият е лечение чрез операция.
Хирургични методи на лечение

Пълното излекуване на халукс валгус е възможно само с помощта на скалпел на хирург. Понякога е достатъчна само една операция и пациентът забравя за проблема завинаги. Лекарят извършва хирургическа интервенция, като взема предвид вида на халукс валгусната деформация. Най-често срещаните видове операции са:
- Екзостектомия. Отстранява се само определена част от метатарзалната кост.
- Резекционна артропластика. Крайната част на метатарзалната кост се отстранява.
- Остеотомия. Използва се за отстраняване на метатарзалната кост, както и малък елемент от фалангата.
- Резекция. Операцията е насочена към отстраняване на засегнатите меки тъкани и след това трансплантиране на здрави тъкани на тяхно място.
- Артродеза. Осигурява принудителна неподвижност на ставите.
- Дистална остеотомия. Операцията включва намаляване на ъгъла между ставите.
- Отстраняване на възпалената бурса на големия пръст на крака.
- Поставяне на импланти.
Рехабилитационният период след операцията може да продължи до седем седмици. През тези няколко седмици обикновено се провеждат специални превантивни мерки. На първо място, това са терапевтични упражнения, които насърчават:
- подобряване на здравословното състояние;
- намаляване на болката при ходене;
- повишаване на тонуса на мускулите на краката;
- монтаж и фиксиране на деформираната става в естествената й позиция.
Продължителността на рехабилитационния период най-често зависи от това колко сложна е била операцията. За да ускорите възстановяването, трябва да започнете да движите пръстите си на следващия ден. След една седмица пациентът вече може да се изправи на крака и, като вземе предпазни мерки, да се движи бавно. Основното е да избягвате продължителен стрес.
След операцията ще ви трябват висококачествени меки и просторни обувки. Закупува се по препоръка на лекар. Между другото, ако започнете да правите терапевтични упражнения в самото начало на развитието на халукс валгус, можете да минете не само без хирургическа намеса, но и без да губите пари за различни устройства, мехлеми и лекарства.
Експертите казват, че хирургичното лечение дава почти сто процента положителни резултати. Този щадящ метод на лечение не изисква анестезия и не причинява стрес или психологически стрес. Въпреки това, безболезнените методи на лечение не са в състояние да спасят човек от последния стадий на заболяването.
Превантивни мерки

Превантивните мерки са съвсем прости - носенето на удобни обувки с широк нос, чиято вътрешна част не оказва натиск върху пръстите. Ставите в частност и краката като цяло са в състояние да издържат тежестта, натрупана по време на човешкия растеж, без да причиняват вреда. Ето защо е много важно да следите телесното си тегло, за да избегнете затлъстяването.
Едно от ефективните превантивни упражнения е следното: човек, седнал на стол с крака на пода, ги движи с пръсти.
Следващото упражнение включва ходене боси по пода, последователно на пръсти и пети.
Простата гимнастика се усвоява бързо, което води до по-сложни физически упражнения. След това можете да извършвате действия като вдигане на молив или друг предмет от пода.
По-добре е да предотвратите деформация на палеца, отколкото впоследствие да стоите на опашки в медицински институции, за да получите препоръки от лекар за избор на ефективно лечение.























